Event Overview
- Title of the Event: Non-Small Cell Lung Cancer Plan Challenge
- Date: June 29th – October 1st, 2019
- Global activity
- 1100 participants from 77 countries
- Organized By: China Society of Medical Physics and Radiation Knowledge
- Total prizes
China Team of Experts
Prof. Jianrong Dai, PH.D
President
Chinese Society of Med. Phys.
Chief Physicist
Department of Radiation Oncology
Cancer Hospital
Prof. Sen Bai, M.S
Professor of Sichuan University
Deputy Director
Department of Radiotherapy
West China Hospital
Director Chinese Society of Med. Phys.
Youqun Lai, M.S
Director of Department of Radiation Physics,
Xiamen Humanity Hospital
2017 Plan Competition (Radiation Knowledge)
Top 1 in China of Fantasy plan Eclipse TPS division
Yuan Tian, PH.D
Associate Professor
Medical Physicist
Department of Radiation Oncology
Cancer Hospital
Prof. Nan Bi, M.D., PH.D
Deputy Director, Department of Radiation Oncology, Cancer Hospital
Minghui Li, M.S
Medical Physicist, Department of Radiation Oncology, Cancer Hospital
2018 Plan Competition (Radiation Knowledge), Top 2 in Asian, Top 5 worldwide
Xuetao Wang, M.S
Medical Physicist, Department of Radiotherapy, West China Hospital
2018 Plan Competition (Radiation Knowledge), Top 3 in China of RayStation TPS division
Jiayun Chen, PH. D
Medical Physicist, Department of Radiation Oncology, Cancer Hospital
2018 Plan Competition (Radiation Knowledge), Top 1 in Asian, Top 4 worldwide
About Competition
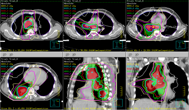
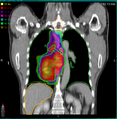
Case : Locally advanced non-small cell lung cancer
Dose Prescription:
95% PGTV 60.2 Gy/2.15 Gy/28 F
95% PTV 50.4 Gy/1.8 Gy/28 F
Protocol : RTOG0617
Techniques : IMRT/VMAT/HT
Winning Plans
Winners – TPS : Eclipse





Winners – TPS : Monaco





Winners – TPS : Pinnacle





Winners – TPS : RayStation





Winners – TPS : Tomotherapy





Publication


