Leading Radiation Oncologist

Hussain Abdullah AlHussain
MD, FRCPC, MMGMT, CPHQ, GRCP
Sub-Specialty Consultant Radiation Oncologist at KFMC,
sub-specialized in Head, Neck, Neuro-Oncology and Stereotactic Radiosurgery
Executive Director of Accreditation at the Saudi Commission For Health Specialties

Statistics

2017 – Participants per Continent
2017 States – Participants per TPS

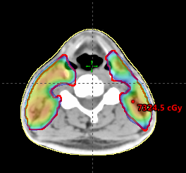
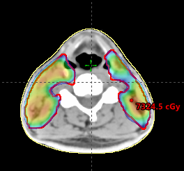
Plan Submission Categories

Fantasy Plan

Use all available resources

Be creative

Clinical Plan

Clinical settings

Reasonable Beam-On Time

Beauty of Dose Painting

Winners

Slide
Chung Yin Mak
Score: 99.5/ 100
Hospital: St. Teresa’s Hospital
Technique: VMAT
Rank: 2017 Champion
Job Title: Radiation Therapist
Slide2
Friedemann Herberth
Score: 99.3/ 100
Hospital: Kantonsspital St.Gallen
Technique: VMAT
Rank: Second Top (Eclipse)
Job Title: Medical Engineer
Slide3
Fazal Khan
Score: 99.1/ 100
Hospital: Mayo Clinic – Arizona
Technique: IMPT
Rank: Top RayStation
Job Title: Medical Dosimetrist
Slide4
Jonathan Stenbeck
Score: 99.0/ 100
Greenville Health System
Technique: VMAT
Rank: Third Top (Eclipse)
Job Title: Medical Physicist
Slide5
Li Kai Leung, Alex
Score: 99.0/ 100
Hospital: St. Teresa’s Hospital
Technique: VMAT
Rank: Fourth Top (Eclipse)
Job Title: Lead, Radiation Therapis
previous arrow
next arrow

Radiation Knowledge & IAEA

Radiation Knowledge Page on IAEA Website
Global Educational Initiative
90 min-talk (Video Recordings)
ICARO2 , IAEA, Vienna, Austria